Rapid Fire Session
Neeraja Mahalingam, MSc
Graduate Research Associate
The Ohio State University
Columbus, Ohio, United States
Neeraja Mahalingam, MSc
Graduate Research Associate
The Ohio State University
Columbus, Ohio, United States
Christopher D. Crabtree, PhD, MSc, BSc
Research Scientist
The Ohio State University
Columbus, Ohio, United States
Katherine Binzel, PhD
Research Scientist
The Ohio State University
Columbus, Ohio, United States
Jeff Volek, PhD
Professor
The Ohio State University
Columbus, Ohio, United States
Yuchi Han, MD, MSc, FSCMR
Professor
The Ohio State University
Columbus, Ohio, United States
Orlando P. Simonetti, PhD, FSCMR
Professor
The Ohio State University
Columbus, Ohio, United States
Figure 2: Scatter plot of EAT volumes from reference and model predicted segmentations. The regression line is shown in red. There was strong agreement between the reference and model predicted EAT volumes (CCC=0.96). The regression line slope indicates that the model systematically underestimates the EAT volume.
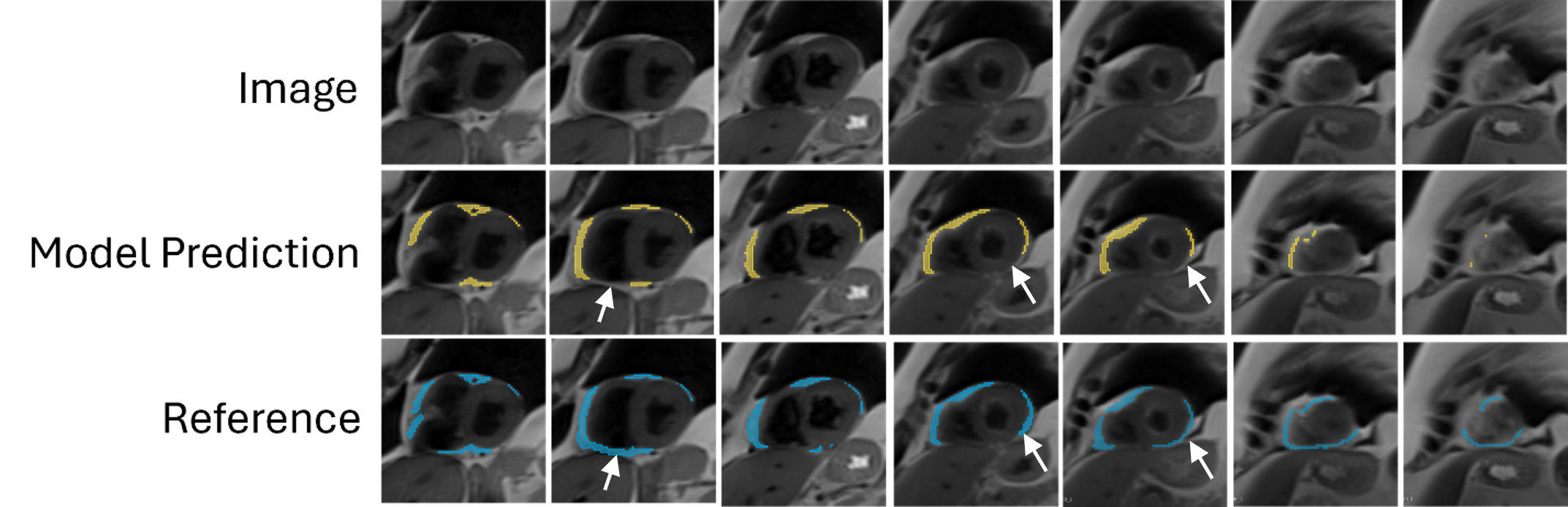
Figure 3: Representative examination illustrating the model prediction and reference segmentations across slices of the cardiac base to apex. The model underestimates the EAT on the inferior surface of the heart and around the apex, as indicated with white arrows..png)