Oral Abstracts Session
Virtual Recording
Burak Demirel, PhD
Clinical Scientist
Philips Research North America
Rochester, Minnesota, United States
Burak Demirel, PhD
Clinical Scientist
Philips Research North America
Rochester, Minnesota, United States
Dinghui Wang, PhD
Postdoctoral researcher
Mayo Clinic, Department of Radiology, Minnesota, United States
Spencer Waddle, PhD
Clinical Scientist
Philips Healthcare
Rocheseter, Minnesota, United States
Vincenzo Scialò
Researcher
Mayo Clinic, United States
Jouke Smink, MSc
MR Clinical Scientist
Philips Healthcare
Best, Noord-Brabant, Netherlands
Jerome Yerly, PhD
Research scientist
University Hospital (CHUV) and University of Lausanne (UNIL), Vaud, Switzerland
Robert J. Holtackers, PhD
MR Physicist & Assistant Professor
Maastricht University Medical Centre
Maastricht, Limburg, Netherlands
Tim Leiner, MD, PhD
Professor of Radiology
Mayo Clinic
Rochester, Minnesota, United States
Figure 2: Retrospective evaluation of 3D-enhanced image quality compared to low- and high-resolution images. (A) Axial, sagittal, and coronal slices from a held-out subject show visual comparisons between high-resolution, low-resolution, and 3D-enhanced images. The 3D enhanced images reconstructed from 50% undersampled low-resolution data demonstrate close resemble to high-resolution images. (B) Quantitative sharpness analysis using a no-reference blur metric shows that 3D enhanced images have blur scores statistically indistinguishable from high-resolution images (P = 0.081), while low-resolution images show significantly degraded sharpness compared to high-resolution (P < 0.001).
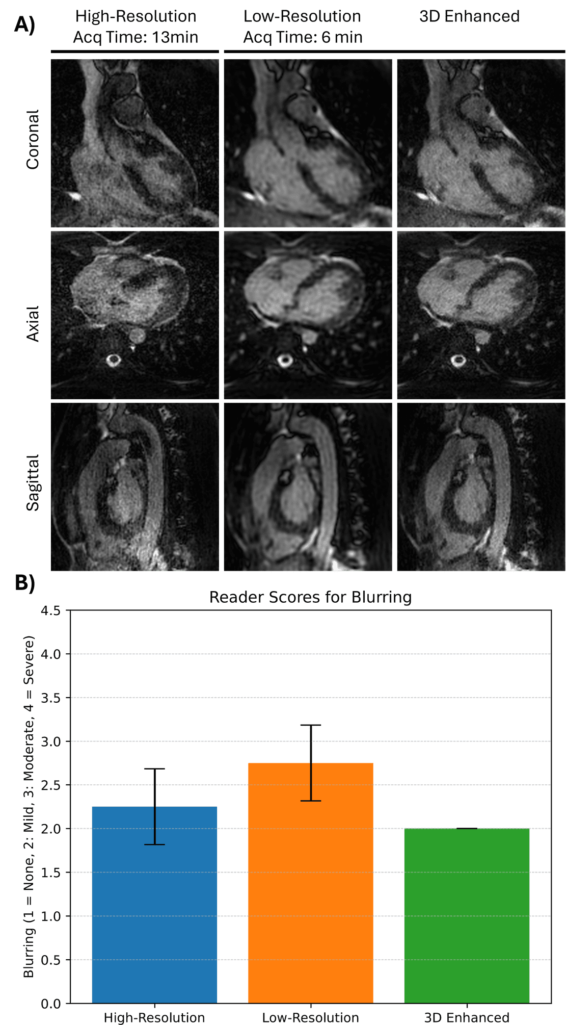
Figure 3: Prospective evaluation of the super-resolution model on low-field 0.6T free-running cardiac MRI acquisitions. (A) Representative axial, sagittal and coronal slices from a volunteer scanned with both high-resolution and low-resolution protocols. Low-resolution scans were acquired in approximately half the scan time (6:31 min vs. 13:08 min). 3D-enhanced images generated from the low-resolution inputs show clear visual improvements, with structural details and myocardial borders more closely resembling the high-resolution reference. (B) Results of a blind reader study across four prospective subjects. Images were scored using a 4-point Likert scale (1 = no blurring, 4 = severe blurring). 3D-enhanced images achieved a mean score of 2.0, showing improvement over low-resolution (2.75) and closer to high-resolution (2.25)..png)