Case Session
Virtual Recording
Enas Ahmed Ismail Ahmed, MD
Research fellow
Mayo Clinic
Tinley park, Illinois, United States
Enas Ahmed Ismail Ahmed, MD
Research fellow
Mayo Clinic
Tinley park, Illinois, United States
Vincenzo Scialò
Researcher
Mayo Clinic, United States
Fatima M. Ezzeddine, MD
MD, MS
Department of Cardiovascular Medicine, Mayo Clinic, Rochester, MN, USA, United States
Tim Leiner, MD, PhD
Professor of Radiology
Mayo Clinic
Rochester, Minnesota, United States
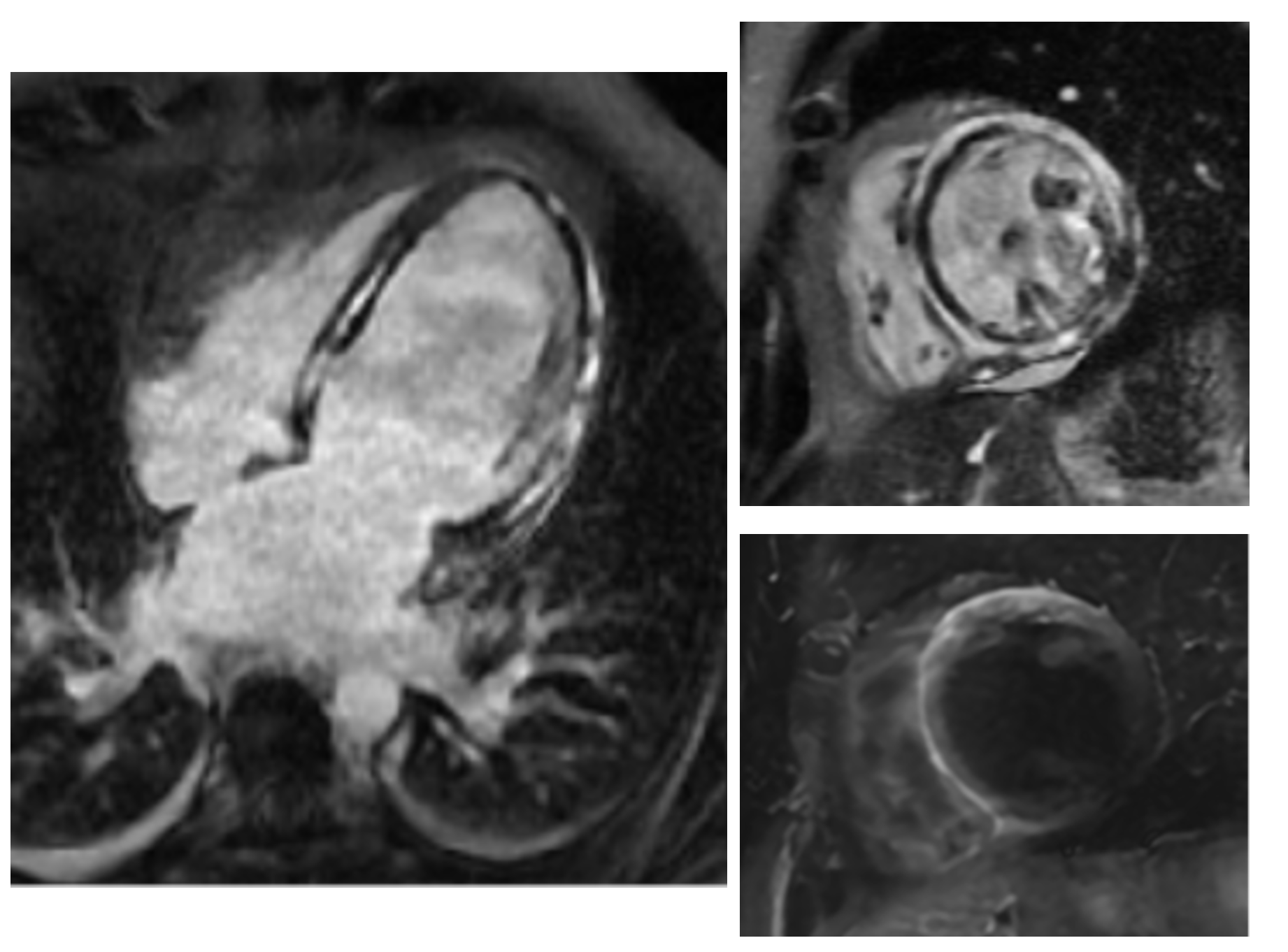
Second CMR SAX view showing LV and RV thrombi, with T2 image with corersponding edema
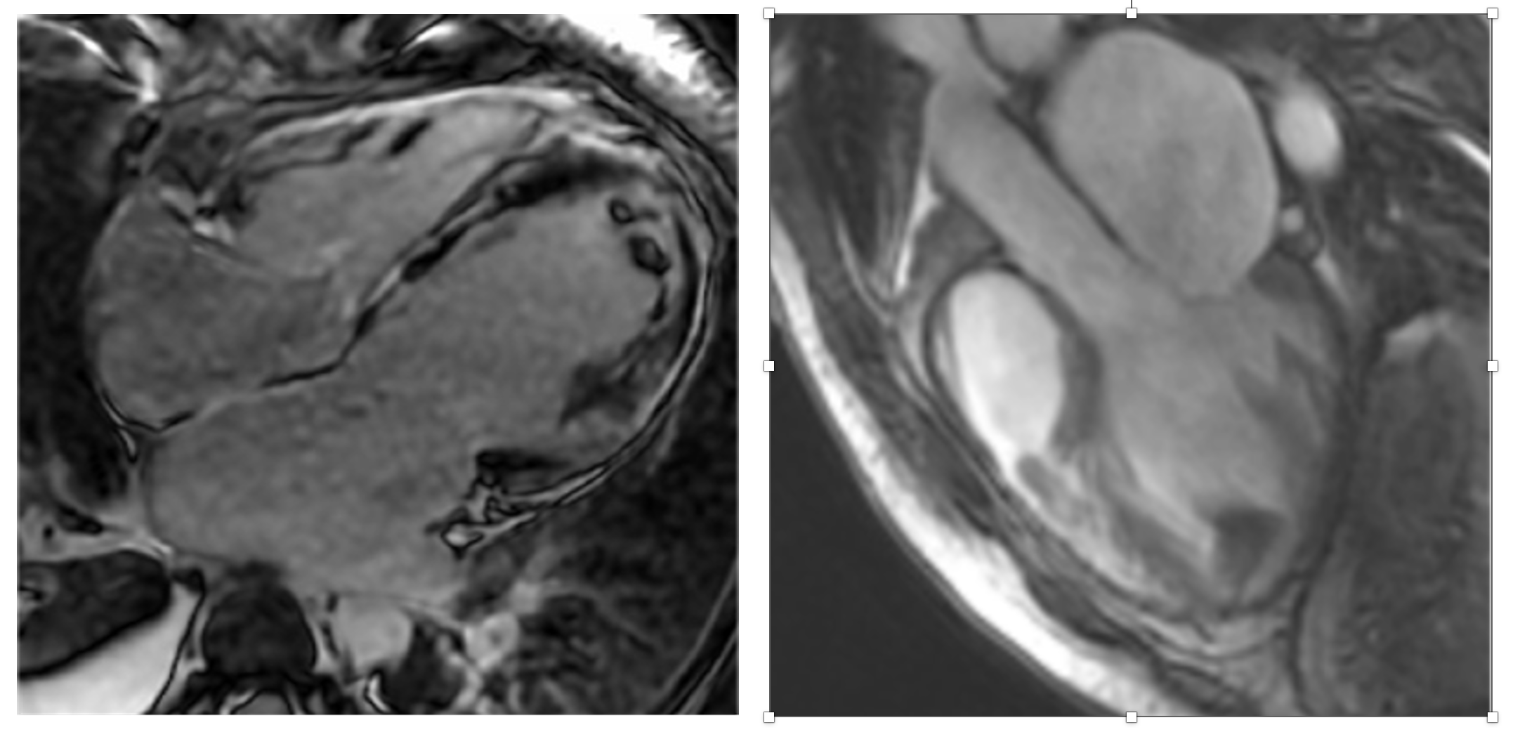
Second CMR: 4 Chamber view with LGE and 3 Chamber view showing both LV and RV thrombi 