Quick Fire Session
Luiz Felipe Butignoli Caetano, MD
Cardiologist and echocardiografist
Universidade Federal de São Paulo - Unifesp
SÃO PAULO, Sao Paulo, Brazil
Miguel Takao Yamawaki Murata, MD
Cardiologist
Universidade Federal de São Paulo - Unifesp
São Paulo/SP, Sao Paulo, Brazil
Maria Eduarda Menezes de Siqueira, MD,PhD
Assistant
Sociedade Brasileira de Cardiologia
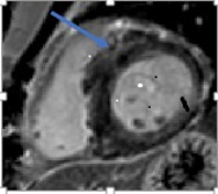
Septal hypertrophy
Fibrosis in the basal anteroseptal wall segment and in the apical lateral wall segment, with an estimated fibrosis mass of 17%