Quick Fire Session
LUIZ FLAVIO GALVAO GONCALVES
MD – Cardiologist, CMR & Cardiac CT Specialist, Chief of Cardiovascular Imaging, Hospital São Lucas Rede Dor
Hospital Sao Lucas
Aracaju, Sergipe, Brazil
ERYCA V S JESUS
MD – Cardiologist, specialist in CMR and Cardiac CT,MD – Cardiologist, specialist in CMR and Cardiac
Hospital São Lucas
Aracaju, Sergipe, Brazil
LUIZ FLAVIO GALVAO GONCALVES
MD – Cardiologist, CMR & Cardiac CT Specialist, Chief of Cardiovascular Imaging, Hospital São Lucas Rede Dor
Hospital Sao Lucas
Aracaju, Sergipe, Brazil
Ibelize Santiago
Cardiovascular Imaging Fellow
Hospital Sao Lucas
Aracaju, Sergipe, Brazil
Carlos Rochitte, MD, PhD, FSCMR
Associate Professor of Cardiology, Academic Coordinator of Cardiovascular Magnetic Resonance and Computed Tomography sector, and Medical Director of the Research Center at Heart Institute, InCor, University of São Paulo Medical School
Cardiovascular Magnetic Resonance and Computed Tomography Director at HCOR
Senior Medical Leader at Alta Excelência Diagnóstica, DASA, São Paulo
InCor - Univ. of São Paulo / HCOR - Heart Hospital
InCor - Univ. of São Paulo
São Paulo, Sao Paulo, Brazil
Antônio Carlos Sousa
Cardiologist and Doctor of Medicine (PhD) in Cardiology,
Hospital Sao Lucas
Aracaju, Sergipe, Brazil
Milena Barros
MD – Cardiologist
Hospital Sao Lucas
Aracaju, Sergipe, Brazil
Roberto Cintra de Azevedo Aragão
MD – Cardiologist
Hospital Sao Lucas
Aracaju, Sergipe, Brazil
José Augusto Soares Barreto
Cardiologist and Doctor of Medicine (PhD) in Cardiology,
Hospital Sao Lucas
Aracaju, Sergipe, Brazil
Maria Souto
MD – Cardiologist, specialist in CMR and Cardiac CT, Hospital São Lucas
Hospital São Lucas, Sergipe, Brazil
Karina Sousa
Cardiovascular Fellow
Hospital Sao Lucas
Aracaju, Sergipe, Brazil
Leonardo Baumworcel
MD – Cardiologist
Hospital Sao Lucas, Sergipe, Brazil
Andrielle Ferreira
Cardiovascular Fellow
Hospital Sao Lucas
Aracaju, Sergipe, Brazil
David Ptak
MD – Cardiologist, specialist in CMR and Cardiac CT, Hospital São Lucas
Hospital Sao Lucas
Aracaju, Sergipe, Brazil
Gabriela Barros, MD
Fellow in Cardiovascular Imaging
Heart Institute, University of São Paulo, Brazil
Joselina Oliveira
Cardiologist and Doctor of Medicine (PhD) in Cardiology,
Hospital Sao Lucas
Aracaju, Sergipe, Brazil
caroline Costa
MD – Cardiologist
Hospital Sao Lucas
Aracaju, Sergipe, Brazil
Vitor Vahle
MD – Cardiologist
Hospital Sao Lucas
Aracaju, Sergipe, Brazil
andre Paixao
MD – Cardiologist
Hospital Sao Lucas
Aracaju, Sergipe, Brazil
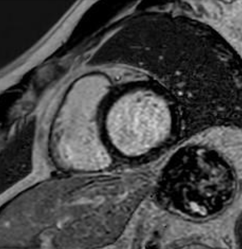
T1 mapping in the hypoperfused region demonstrating reduced native T1 values.
First-pass gadolinium imaging demonstrating a perfusion defect in the inferolateral wall..png)