Quick Fire Session
Amanda Marsiaj Rassi, MD
Cardiologist
Instituto Dante Pazzanese de cardiologia
São Paulo, Sao Paulo, Brazil
Amanda Marsiaj Rassi, MD
Cardiologist
Instituto Dante Pazzanese de cardiologia
São Paulo, Sao Paulo, Brazil
Ibraim Masciarelli Pinto, MD, PhD
Director, Non Invasive Cardiology
Instituto Dante Pazzanese de Cardiologia
Sao Paulo, Sao Paulo, Brazil
Marina R. Cavallari, MD
Doctor
Instituto Dante Pazzanese de Cardiologia
São Paulo, Sao Paulo, Brazil
Antonio Tito 3. Paladino Filho, MD, PhD
Cardiologist
Hospital Vila Nova Star, Rede D’or São Paulo-SP
Sao Paulo, Sao Paulo, Brazil
Natassia SSC Gomes, MD
Doctor
Instituto Dante Pazzanese de Cardiologia
São Paulo, Sao Paulo, Brazil
Camilla F. Reimberg, MD
Doctor
Instituto Dante Pazzanese de Cardiologia
São Paulo , Sao Paulo, Brazil
Gustavo R. Modolo, MD
Doctor
Instituto Dante Pazzanese de Cardiologia, Brazil
Alice Cunha Darzé, MD
Cardiologist
Instituto Dante Pazzanese de Cardiologia
São Paulo, Sao Paulo, Brazil
Luciano G. Possa, MD
Doctor
Instituto Dante Pazzanese de Cardiologia, Brazil
Paul Salvador Salvador Morales, MD
Cardiologist
Instituto Dante Pazzanese de Cardiologia
São Paulo, Sao Paulo, Brazil
Tiago Senra, MD, PhD
Physician
Dante Pazzanese Institute of Cardiology
Sao Paulo, Sao Paulo, Brazil
Everton R. Barbosa, MD
MD
Instituto Dante Pazzanese de Cardiologia, Brazil
Rafael de Castro Hendges, MD, PhD
Cardiologist
Instituto Dante Pazzanese de Cardiologia
São Paulo, Sao Paulo, Brazil
João Marcelo Caneschi, MD
Cardiologist
Instituto Dante Pazzanese de Cardiologia
São Paulo, Sao Paulo, Brazil
Mariana de Oliveira Nunes, MD
MD
Intituto Dante Pazzanese de Cardiologia, Brazil
Carlos EE Prazeres, MD
Doctor
Instituto Dante Pazzanese de Cardiologia, Brazil
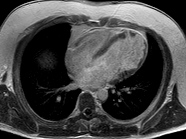
late gadolinium enhancement in the four-chamber view in the apical lateral segment
late gadolinium enhancement in the short axis view in the apical lateral segment