Quick Fire Session
Julieta Rancati, MD
Paediatric Cardiologist
Royal Brompton Hospital, Hospital de Niños Pedro Elizalde & Sanatorio Franchin
Buenos Aires, Ciudad Autonoma de Buenos Aires, Argentina
Julieta Rancati, MD
Paediatric Cardiologist
Royal Brompton Hospital, Hospital de Niños Pedro Elizalde & Sanatorio Franchin
Buenos Aires, Ciudad Autonoma de Buenos Aires, Argentina
Laura Victoria Torres-Araujo, MD, FSCMR
Consultant
CT Scanner - Instituto Nacional de Cardiología "Ignacio Chávez"
Mexico , Mexico City, Mexico
Cecilia Monestes, MD
Paediatric Cardiologist
Sanatorio Franchin, Argentina
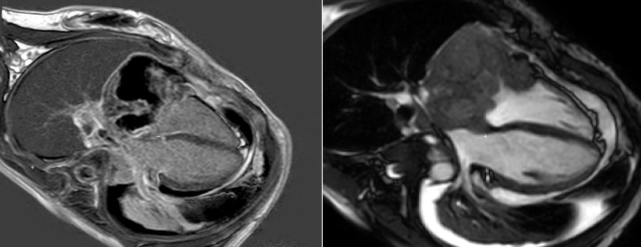
Image 2: Left: PSIR sequence 10 minutes after contrast injection in four chambers view showing heterogeneous enhancement with a central area of null signal suggesting avascular region. Right: 4 chambers BSSFP cine sequence showing typical cauliflower-like appearance plus residual pericardial and pleural effusion..jpg)