Case Session
Virtual Recording
Riham Ibrahim
Clinical Fellow
Guy's and St Thomas' NHS Foundation Trust
Uxbridge, England, United Kingdom
Riham Ibrahim
Clinical Fellow
Guy's and St Thomas' NHS Foundation Trust
Uxbridge, England, United Kingdom
Chiara Bucciarelli-Ducci, MD, PhD
Consultant cardiologist
Royal Brompton & Harefield NHS Foundation Trust
London , England, United Kingdom
Joyce Wong, MD, PhD, FSCMR
Consultant Cardiologist in CMR
Harefield Hospital, Guys' and St Thomas' NHS Foundation Trust.
Chiswick, England, United Kingdom
Tarun Mittal
Consultant cardiothoracic radiologist, CMR Unit, Royal Brompton & Harefield Hospitals, London
Royal Brompton & Harefield NHS Foundation Trust, United Kingdom
This picture is a collective of the CMR findings of the RCA perivascular inflammation, as shown to have high signal in the STIR and T2 map, suppression on T1 sequence enhancement in the T2 post contrast
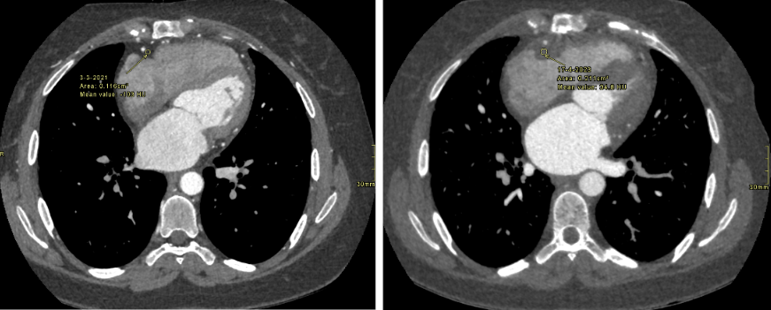
this picture shows the incresed RCA perivascular fat in a CCTA done 8 months before the acute MI compared with normal RCA perivascular fat in a CCTA done 2 years prior (both are done as a routine follow up and the patient had no symptoms at time)