Quick Fire Session
Fernanda Sayuri Oshiro, MD
Cardiologist
Universidade Federal de Mato Grosso do Sul, Universidade Federal de São Paulo
Campo Grande, Mato Grosso do Sul, Brazil
Fernanda Sayuri Oshiro, MD
Cardiologist
Universidade Federal de Mato Grosso do Sul, Universidade Federal de São Paulo
Campo Grande, Mato Grosso do Sul, Brazil
Raul Serra Valerio
Universidade Federal de São Paulo - Unifesp, Brazil
Alfredo Rodrigues, MD
Coordenador do Grupo de Imagem Cardiovascular DASA-SP
Universidade Federal de São Paulo - Unifesp
Sao Paulo, Sao Paulo, Brazil
Gilberto Szarf, MD, PhD
Radiologist
Hospital Israelita Albert Einstein
Sao Paulo, Sao Paulo, Brazil
Marly Uellendahl, MD, PhD
Cardiac Imaging Coordinator
DASA - UNIFESP
São Paulo, Sao Paulo, Brazil
Maria Eduarda Menezes de Siqueira, MD,PhD
Assistant
Sociedade Brasileira de Cardiologia
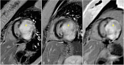
Figure 2: Short axis (A) and four-chamber (B-C), presenting intramyocardial mass (*) isointense in T1. 2016 (A), 2018 (B), and 2020 (C).
Figure 3: Short-axis showing an intramyocardial mass (*) with LGE of intense and homogeneous pattern. 2014 (A), 2017 (B), and 2018 (C).